Керамические брекеты фото: Керамические брекеты | Отзывы покупателей
Установка керамических брекет-систем на зубах в Москве: цены, фото и отзывы
Особенности керамических брекетов
Такие брекеты прочнее своих сапфировых аналогов, но все же уступают металлическим изделиям. Сама по себе керамика – достаточно крепкий материал, но она склонна крошиться, поэтому требует более осторожного обращения.
Однако современные производители непрерывно совершенствуют свою продукцию и предлагают прочные и надежные системы, которые комфортны для пациента и служат долгое время.
В нашей клинике применяются исключительно качественные материалы, поэтому мы гарантируем нашим пациентам эстетическую привлекательность брекетов, их безопасность и долговечность.
Преимущества керамических брекетов
Брекеты из керамики имеют округлую форму, поэтому не травмируют десны и слизистую полости рта.
Большой выбор цветов позволяет подобрать конструкцию под оттенок эмали.
Керамика не окрашивается, поэтому можно не отказываться от кофе, чая и других продуктов.
Брекеты из этого материала гипоаллергенны.
Такие конструкции не оставляют на зубах желтоватых пятен и легко снимаются.
Установка керамических брекет-систем
Керамические брекет-системы схожи по конструкции с другими, их установка также практически не отличается. Брекеты из керамики могут быть с лигатурой или без нее. В лигатурных системах дуга фиксируется с помощью металлических или резиновых колец. В безлигатурных крепление осуществляется за счет специальной клипсы.
Сначала каждый брекет фиксируется на зубах с помощью специального клея, затем замочки соединяются в единую систему ортодонтической дугой. На задних зубах конструкция фиксируется за счет щечных замков и колец. В случае необходимости может устанавливаться металлический крючок для эластичной тяги.
Установка керамических брекетов требует строгих расчетов и постоянного контроля со стороны специалиста, чтобы в итоге лечения Вы получили ровные красивые зубы на долгие годы.
Уход за керамическими брекет-системами
Современные брекет-системы из керамики не окрашиваются во время использования, но, как и другие конструкции, требуют ухода. Особое внимание следует уделять очищению межзубного пространства, для этого выпускаются специальные ортодонтические щетки и ирригаторы, которые отлично справятся с этой задачей.
Кроме того, старайтесь не откусывать твердые продукты зубами, пользуйтесь ножом во время приема пищи, чтобы избежать отклеивания брекетов или их повреждения. Обязательно соблюдайте гигиену полости рта и при возникновении жалоб обращайтесь к своему врачу. Кроме этого, наша клиника предлагает услуги по установке лингвальных брекетов.
Керамические брекеты − прекрассная эстетика
Керамические брекеты (замки), выполненные из поликристаллического оксида алюминия, сочетают в себе прекрасную эстетику и высокую эффективность лечения.
Настоящая статья ставит целью рассказать о преимуществах и недостатках керамических брекет систем, чтобы пациенты имели возможность сделать осознанный выбор перед проведением лечения.
Содержание статьи:
1. Эстетические брекет системы. Керамические брекеты
• Технические параметры керамических замков
• Преимущества керамических замков
2. Особенности лечения керамическими брекетами. Правда и мифы
• Прочность керамических брекетов
• Прочность приклеивания керамических брекетов
• Тип скольжения дуги вдоль керамических брекетов
3.
Лечение керамическими брекет системами
Эстетические брекет системы. Керамические брекеты
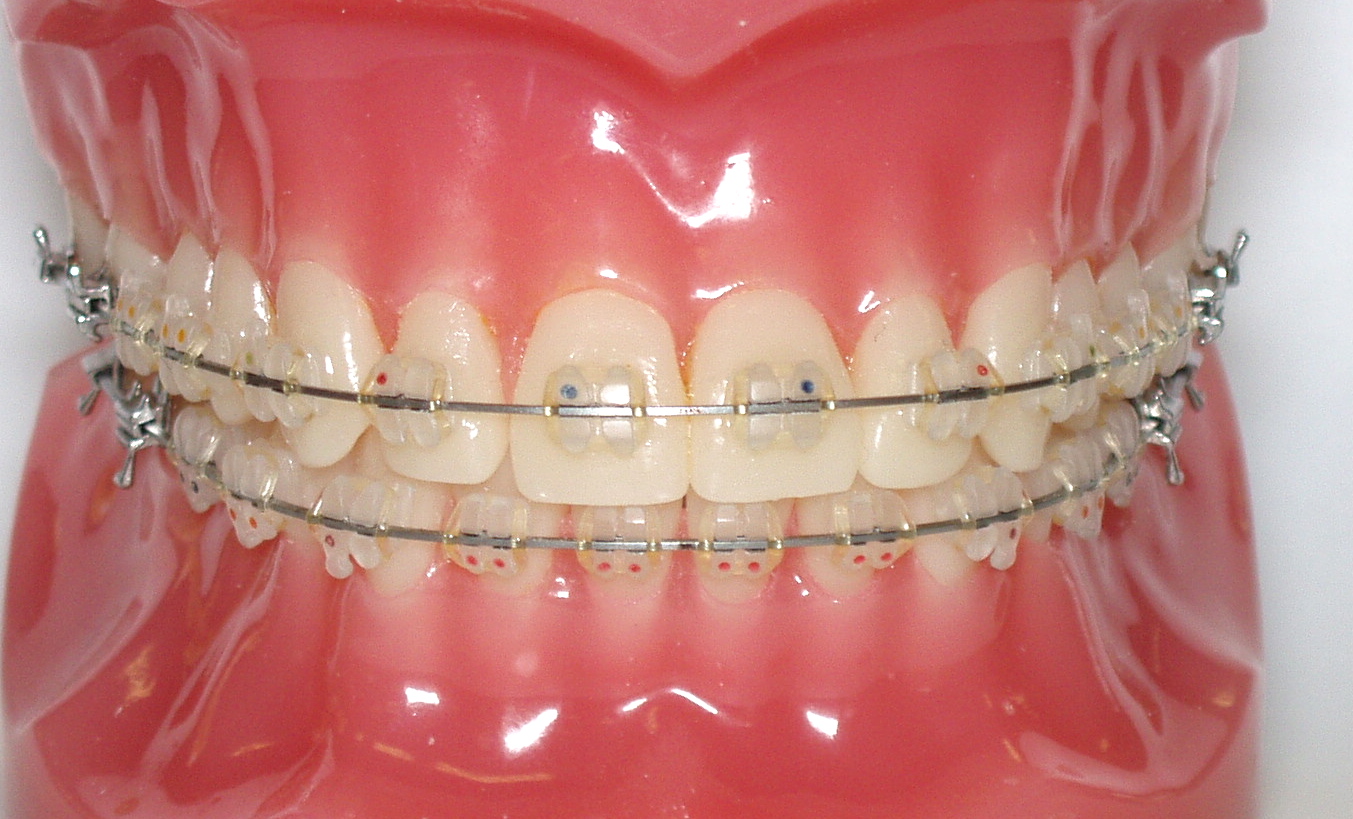
Керамические брекеты, изготавливаются из поликристаллического оксида алюминия и могут быть выполнены в двух конструктивных исполнениях — лигатурные и самолигирующие. И те и другие относятся к вестибулярным системам. Они фиксируются к наружной поверхности зубов. Отличия двух типов брекет систем определяется способом лигирования (привязыванием, фиксированием проволочной дуги в пазах замков).
Современные керамические замки по своим размерам не сильно отличаются от металлических. Они небольших размеров, а дизайн предполагает комфортные для пациента округлые, сглаженные края и углы.
Керамическим замкам, также как и металлическим, присущи одни и те же конструктивные элементы: паз, крылья, крючки.
- Керамический замок имеет почти такие же размеры как и металлический;
- Керамический замок имеет все те же элементы, что и металлический;
- Керамические замок выполнен точно также как и металлический.

Технические параметры керамических замков
Положение зубов в ортодонтии описывается показателями ангуляции, торка и положения in/out. Чтобы получить идеальное положение зубов в финале лечения необходимо эти параметры заложить конструкцию системы. Положения паза каждого брекета относительно его основания и определяет эти технические параметры. Параметры разные для каждого зуба. Игнорирование параметрами, приводит к отрицательным результатам. Поэтому так важна точность изготовления каждого замочка. Современные технологии позволяют путем фрезерования получать керамические брекеты не уступающие по точности металлическим или другим системам.
Вполне логично будет предположить, что те и другие лечат одинаково эффективно. И это правда. Лечение замками из поликристаллического оксида алюминия высоко эффективно, хотя и имеет некоторые особенности.
Преимущества керамических замков
Выдающейся особенностью керамических брекетов является то, что они незаметны на зубах.
Замки из керамики имеют высокий спрос среди пациентов. Поэтому конкуренция между производителями брекет систем в этом сегменте рынка очень острая. Каждый бренд предлагает свою продукцию. Наиболее известные в Восточной Европе следующие системы:
- Clarity от 3M Unitek;
- Damon Clea Ormco;
- Mystique от компании GAC;
- Брекеты Reflections компании Ortho Technology;
- ClearVu фирмы TP Orthodontics;
- Брекеты Crystal Производитель — SIA ORTHODONTIC;
- и многие другие.
Все эти продукты, выполненные разными производителями, достойно конкурируют друг с другом. Трудно выделить какую-то из брекет систем, по признаку эстетики.
Особенности лечения керамическими брекетами.
Правда и мифыДля большинства пациентов брекет системы − это инструмент для получения красивой улыбки. Поэтому основным признаком хороших брекет систем являются замки с высокой точностью выполнения паза. Именно паз брекета гарантирует высокое качество лечения. Современные технологии производства позволяют получать высокоточные ортодонтические системы из поликристаллического оксида алюминия. Поэтому качество лечения металлическими брекет системами являющимися эталоном в ортодонтии и керамическими системами не отличаются.
Прочность керамических брекетов
Керамические замки обладают меньшей прочностью, чем стальные и могут раскалываться от нагрузок. Но влияет ли это на лечение? Поломки и неисправности ортодонтического аппарата приводят к осложнениям лечения. Нарушения целостности брекет системы бывают разные: отклеивание замка, фрактура замка, потеря лигатуры, поломка или деформация дуги и др. Поломки керамических брекетов случаются редко, и могут наблюдаться из-за небрежного отношения пациента к ортодонтическому лечению.
Чаще в ходе лечения, наблюдается отклеивание замков. Отклеивание брекета — такая проблема может наблюдаться при лечении любыми видами систем и не зависит от материала, из которого изготовлены замки. Может происходить и у пациентов с металлическими и керамическими системами.
Так как более низкая прочность эстетических замков в сравнении с металлическими не сказывается на ходе лечения, то мнение о непригодности керамических брекетов можно считать вредным мифом.
Прочность приклеивания керамических брекетов
От чего зависит прочность приклеивания керамических брекетов?
Если соблюдать технологию лечения, то есть клеить замочки по правилам, то на прочность их фиксации влияет два параметра:
- Тип фиксирующего материала;
- Тип решетки брекета.
В клинике ЦКС для фиксации брекетов мы используем ортодонтический полимер светового отверждения (фотополимер).
Это самый прочный материал, используемый для приклеивания ортодонтических аппаратов. После окончания лечения он легко удаляется с поверхности эмали, сохраняя структуру зубов интактной (здоровой).
Фиксирующие решетки различных типов брекетов
Решеткой брекета называют обратную (тыльную) сторону замка. Керамические брекеты имеют особенную решетку, непохожую на решетку металлических замков. Это либо продольные канавки, фрезерованные на обратной стороне брекета или квадратные углубления. Такие виды решетки на практике доказали свою высокую эффективность.
Если отклеивание происходит, то это связано:
- либо с погрешностями работы ортодонта, который клеил замки;
- либо нарушением правил питания и поведения пациента, носящего брекет систему.
Информация о низкой прочности фиксации керамических брекетов к поверхности эмали необходимо считать мифом.
Тип скольжения дуги вдоль керамических брекетов
Важной характеристикой брекет системы является способность ортодонтической проволочной дуги скользить вдоль паза замка.
Чем меньше сила, тем лучше. Опять ориентируемся на металлические системы, как эталон. Поверхность оксида алюминия имеет более высокие показатели силы трения. Но трение возрастает в случае, если использовать белые дуги с тефлоновым покрытием.
Керамическая брекет система с дугой покрытой белым тефлоновым покрытием
Некоторые этапы лечения не требуют скольжения дуги. В такие периоды можно смело использовать красивые, белые дуги.
Если этап лечения требует хорошего скольжения, то лучше использовать дуги без покрытия. Это ускорит перемещения зубов и сократит сроки лечения.
Керамическая брекет система с дугой стального цвета
Если использовать дуги без покрытия, то скольжение дуги вдоль и металлических и керамических замочков не отличается. Поэтому утверждение о высокой силе трения керамических брекетов можно считать мифом.
Лечение керамическими брекетами
Принципы лечения керамическими и металлическими брекетами одинаковые.
Для того чтобы зубы перемещались, необходимо продуцировать силы небольшой величины, но действующие постоянно. Такие силы формирует ортодонтическая дуга. Брекеты лишь помогают направить усилия верно. Для каждого зуба необходим свой вектор силы. Именно за направление вектора отвечает брекет, а правильнее сказать его положение на зубе. Поэтому неверное приклеивание замков не позволит выравнивать зубы.
То, что керамические и металлические системы лечат одинаково можно убедиться на клиническом примере. Мы использовали комбинированный вариант аппаратуры. На верхней челюсти установили керамическую систему, а на нижней металлическую.
| Сравнить как лечат металлические и керамические брекеты можно на примере этого случая. Ситуация и верхнего и нижнего зубного ряда достаточно сложная. |
Верхний зубной ряд асимметричен. Из-за этого у пациента смещена средней линии зубов. На нижней челюсти большой дефицит места зубного ряда. Выраженная скученность зубов. |
| На верхнюю челюсть установили керамическую брекет систему. |
| Через несколько месяцев, когда пациент адаптировался к системе верхнего зубного ряда, устанавливаем металлическую систему на нижнюю челюсть. Лечение проводим комбинированной системой: на верхней челюсти — керамической, на нижней — стальной. |
| Форма зубного ряда верхней и нижней челюсти идеальны. |
| Улыбка после лечения керамическими брекетами. |
Стоимость лечения керамической системой
В подавляющем большинстве клиник Харькова цена керамических брекетов в 1,5-2 раза выше, чем металлических. Но она уступает стоимости сапфировых и лингвальных систем.
Стоимость определяется финансовой политикой каждой стоматологической поликлиники, но также зависит и от производителя ортодонтической конструкции. Самым важным в ценообразовании ортодонтического лечения является вопрос того как проводится оплата. Возможны два варианта:
- Оплата одномоментная, с учетом всех планируемых манипуляций и процедур. Эта система проста для расчетов. Однако, становиться неудобной для тех, кто может поменять место жительства или пожелает сменить врача-ортодонта;
- Оплата поэтапная. Предполагает отдельный платеж за установку ортодонтической аппаратуры. И последовательная оплата каждой активации конструкции, которая проводится, как правило, один раз в месяц.
В нашей клинике предлагается поэтапная оплата брекет терапии, позволяющая растянуть общий платеж и сделать лечение более доступным.
Видео: Лечение керамическими брекетами.
Серия «Веселье делу не помеха»
youtube.com/embed/LYV8Kda2eVA»/>
Вместе с материалами о брекетах часто ищут
Цены на брекетыПрогрессивные брекет системы в Харькове➤ Установить брекеты — Цены подробно 2020!➤ Металлические, керамические, сапфировые, самолигирующие, лингвальные.
Лечение кривых зубов. Керамические и металлические брекеты в действииКак выбрать брекеты если необходимо лечить кривые зубы? Статья ответит на вопросы какие системы лучше. Ортодонтическое лечение специалистами стоматологии ЦКС в Харькове
Дистальный прикус и его лечениеТолько важная информация о дистальном прикусе.
Просто возьми и вылечи.
Керамические брекеты Clarity Advanced (3M Unitek)
Керамическая брекет-система Clarity Advanced компании 3M Unitek — миниатюрные и прочные брекеты с высокой точностью перемещения зубов. Керамика повторяет цвет зубов и не меняет свой цвет на протяжении всего лечения, что делает их менее заметными.
ЗаписатьсяДлительность
от 30 минут
Стоимость
45 200 р.
Брекеты Clarity Advanced являются продуктом нового поколения среди эстетических аппаратов для выравнивания зубов и уже успели получить популярность и признание у врачей и пациентов ортодонтических клиник.
Выбор в их пользу делают благодаря сочетанию миниатюрности и высокой прочности. Также немаловажным фактором является натуральный внешний вид, свойственный качественной керамике, которая используется при изготовлении данных брекетов. Она повторяет естественный цвет зуба и не подвергается изменению или окрашиванию на протяжении всего лечения.
Производитель учел все требования врачей и пациентов, изготовив пазы брекета по особой технологии, позволяющей значительно увеличить точность перемещения зубов.
Плюсы системы брекетов Clarity Advanced также дополняют максимальное удобство использования, предсказуемый результат, качественный механизм скольжения и легкое снятие, не травмирующее полость рта и зубы.
Плюсы брекет-системы Clarity Advanced
- отменные эстетические показатели: брекеты всегда смотрятся натурально, повторяя зубную эмаль, радуют маленьким размером, что делает их практически незаметными на зубах даже с небольшого расстояния
- материал качественный и прочный, не портится по ходу эксплуатации, его цвет не изменится и останется прежним даже по окончанию лечения
- гладкая поверхность и слегка закругленная форма гарантирует комфортное ношение и отсутствие раздражения, привыкание происходит очень быстро
- за счет особого основания, брекеты такого типа легко прилегают к поверхности зубов.

Более чем 50-ти летний опыт работы компании-производителя на рынке товаров для стоматологии и ортодонтии не дает усомниться в качестве брекет-системы Clarity Advanced, подтверждаемом многочисленными положительными рекомендациями от стоматологов и их пациентов по всему миру. Добиться такого успеха данной системе удалось, сохраняя идеальный баланс эстетичности, качества изготовления и стоимости.
Приходите в cтоматологию Клиники ЭКСПЕРТ и убедитесь в этом сами!
Вы сможете посмотреть на керамические брекеты вблизи, получить консультацию по особенностям и достоинствам данного метода выравнивания зубов, а также получить расчет стоимости и сроков ортодонтического лечения.
Стоимость брекет-системы Clarity Advanced
| Фиксация брекет-системыClarity Advanced 3M (Unitek) на одну челюсть (включая стоимость брекетов) | 45 200 ₽ |
Отзывы о Clarity Advanced и работе ортодонтов
- С нашего сайта
- С книги отзывов
Березина Софья Владимировна
Врач стоматолог-ортодонт
Софья Владимировна добрый, замечательный, понимающий человек! Спасибо за мечту, великолепную улыбку.
Большое спасибо за все! Особенно за гостеприимность.
Большое СПАСИБО Ворониной Дине Владимировне!!!
От Жени Богатыревой
Дина Владимировна, спасибо Вам огромное за брекеты! Ничего не болит, не колится!
Всего Вам самого наилучшего
Дарья
Пример нашей работы по лечению брекетами Clarity Advanced
Ситуация ДО лечения
Скученность зубов верхней и нижней челюстей. Дистальная окклюзия с протрузией резцов верхней и нижней челюстей. Первичная адентия премоляра справа, недоразвитый премоляр слева на верхней челюсти. Смещение центра верхней и нижней челюстей вправо.
Плана лечения: удаление зубов мудрости, удаление премоляра слева. Выравнивание зубных рядов верхней и нижней челюстей. Коррекция дистальной окклюзии с использованием эластиков по II классу. Коррекция центра верхней и нижней челюстей.
Во время лечения брекетами
Фото с брекетами Clarity AdvancedФото с брекетами Clarity Advanced, вид справаФото с брекетами Clarity Advanced, вид слеваСрок лечения: 22 месяца.
Результат ПОСЛЕ лечения
Прозрачные брекеты — цена, описание и фото
Сегодня каждая корпорация, производящая ортодонтическую продукцию, предлагает выбор прозрачных брекетов — керамические, сапфировые, так называемые, эстетические или малозаметные брекеты. Какой выбор сделает пациент, заинтересованный в эстетике? Конечно же, одним из основных критериев будет малозаметность на зубах.
Достоинства эстетических брекет-систем
- Собственно, эстетичный внешний вид. Брекеты выглядят незаметно и изящно, привыкание пациента после процесса установки данных систем происходит быстрее.
- Низкая степень травматичности. Эстетические брекеты чаще имеют закругленную и гладкую поверхность, которая обеспечивает комфорт во время всего периода коррекции прикуса.
- Отсутствие аллергий. Керамика, сапфир и пластик – это материалы, которые сводят к минимуму возможность возникновения аллергических реакций. Именно такие брекеты рекомендуется носить людям, которые имеют повышенную чувствительность к различным металлам.

Недостатки эстетических брекетов
- Необходимость изменения привычного рациона питания. Конечно, после установки любых вестибулярных брекетов придется ограничивать себя в употреблении ряда продуктов. Однако эстетические ортодонтические аппараты немного увеличивают этот список. Так, например, чтобы брекеты не изменили свой цвет и остались прозрачными, придется исключить или уменьшить потребление красящих напитков: соков, красного вина, чая, кофе и некоторых других.
- Хрупкость материала. Они не так прочны и надежны, как металл, а значит, обращаться с ними придется гораздо более бережно, чем с металлическими.
- Длительность коррекции прикуса. Установка эстетических брекетов предполагает их ношение примерно на 2-3 месяца дольше, чем металлических. Это происходит из-за более высокого коэффициента трения между замочком (или лигатурой) и дугой. Кроме того, нужно учитывать и возможность мелких поломок конструкции – это тоже увеличивает общий период коррекции прикуса.

Принципиально, прозрачные брекеты, как и металлические, можно разделить по виду крепления дуги на 2 группы — лигатурные и самолигирующие:
- Лигатурные брекеты относятся к наиболее распространенным видам эстетичных ортодонтических систем. Дуга в керамических лигатурных брекетах крепится с помощью тонких, но очень прочных проволок или резинок – так называемых лигатур. После установки системы необходимо как минимум один раз в месяц приходить на прием к врачу-ортодонту. Такая система имеет минус – между лигатурами нередко застревают кусочки пищи, что способствует образованию зубного налета и увеличению времени на гигиенические процедуры, что огорчает многих пациентов.
- Безлигатурные брекеты. Керамические самолигирующие брекеты имеют иную конструкцию. Лигатур у них нет, а дуга удерживается с помощью маленьких замочков. Такие брекеты выглядят аккуратнее – это можно заметить, если сравнить фото обеих систем.
На сегодняшний день безлигатурные брекеты из эстетичной керамики становятся все более востребованными.
Причиной тому стал целый ряд весомых преимуществ:
- данная система устанавливается быстрее и проще, что значительно снижает психологический дискомфорт во время приема у врача-ортодонта;
- безлигатурные брекеты дают возможность тратить гораздо меньше времени на ежедневные гигиенические процедуры;
- при контакте со слизистой оболочкой замочки не вызывают неприятных ощущений, это делает безлигатурные брекеты менее травмоопасными;
- после установки такого рода брекетов из керамики не нужно посещать ортодонта каждый месяц – достаточно одного раза в 7-8 недель;
- высокая эстетичность – также одно из главных преимуществ безлигатурных брекетов.
Также прозрачные брекеты можно разделить по материалу, из которого они были изготовлены:
- пластиковые,
- керамические,
- сапфировые.
Популярные виды прозрачных брекетов
Брекеты Inspire Ice (сапфир)
ТЕХНОЛОГИЯ ПРОИЗВОДСТВА
Основа брекетов Inspire Ice — сапфир.
Оксид алюминия расплавляют и получают из него монокристаллическую массу; путем сжатия из массы формируют сапфир — в отличие от природного, абсолютно прозрачный.
ОСОБЕННОСТИ СИСТЕМЫ:
- Надежная фиксация.
- Полная прозрачность. Из-за прозрачности брекет хуже виден, причем вне зависимости от цвета зубов пациента. Он может быть чисто белым, сероватым или желтоватым — конструкция все равно будет почти незаметна.
- Индивидуальное приспособление для удаления. Просто так снять брекеты Inspire Ice невозможно — в том числе и из-за усиленного крепления существует специальный инструмент для их удаления. Это пластиковые щипцы, которыми каждый элемент подцепляется так, чтобы оказаться неповрежденным.
ПРЕИМУЩЕСТВА СИСТЕМЫ
- Безопасность. Благодаря материалу и безупречной шлифовке, Inspire Ice не вызывают аллергии, не способны поранить чувствительную слизистую оболочку ротовой полости и не окисляются со временем.
- Неизменность.
Керамические системы легко меняют цвет со временем — сапфир же всегда остается таким же прозрачным, как в день покупки. - Полировка. Благодаря тому, как идеально отшлифованы компоненты, дуга подходит к сапфирам абсолютно, давление распределяется между ними равномерно и неприятные ощущения в процессе адаптации сводятся к минимуму.
- Прозрачность. Благодаря отсутствию пигментации, даже внимательный человек вряд ли заметит наличие брекетов — в отличие от других моделей, они идеально сливаются с любым природным оттенком эмали.
ПОКАЗАНИЯ
Систему устанавливают, если у пациента небольшие проблемы с прикусом, которые требуют щадящей корректировки, а также в случае аллергии на металлы.
ПРОТИВОПОКАЗАНИЯ
Системы не станут устанавливать, если у пациента серьезная аномалия прикуса.
Damon Clear и Damon Clear 2 с усовершенствованной системой крепления дуги в брекете
Популярность этой системы объяснить очень легко – они требуют значительно меньших временных затрат как при установке в кресле врача, так на само лечение с их помощью.
Для изготовления элементов этой системы используется поликристаллический алюминия оксид.
В этом материале присутствуют свойства, как металлов, так и кристалла. В основе материала – кристаллическая решетка, которая и позволяет без повреждений переносить повышенные нагрузки. А благодаря особым технологиям материал делают еще и прозрачным, что позволяет не тратить время на подбор оттенка и способствует нормальному общению. Это также позволяет сделать сами брекеты меньшего размера и со скругленными краями и углами, что дает наибольший комфорт пациентам при ношении.
Основным НЕДОСТАТКОМ брекетов является их более высокая стоимость по сравнению с обычными системами, в которых для крепления используются лигатуры. Также, профиль самолигирующих эстетических брекетов толще в сравнении с металлическими.
ПРЕИМУЩЕСТВА СИСТЕМЫ
- В зависимости от каждого отдельного случая визиты к врачу проводятся в среднем раз в 6–8 недель.
- Очень быстрое появление эффекта (всего несколько недель) от ношения, несмотря на то, что ортодонтическое лечение очень длительный процесс и первых результатов нужно ждать долго.

- Уменьшение дискомфорта и исключение травмирования слизистой за счет применения постепенно увеличивающейся силы давления и мягкой округлой формы всех элементов конструкции.
- Высокие показатели эстетичности – конструкция проста в уходе и не меняет цвет даже после систематического употребления продуктов с сильными красителями – разные напитки, кофе, ягоды и прочее.
- Абсолютно гипоаллергенны.
Узнайте подробнее о сапфировых брекетах Inspire Ice.
Узнайте подробнее о керамических брекетах Damon Clear.
Керамические брекеты — как выглядят (фото) и отзывы
Если у вас красивая улыбка, вы, безусловно, чувствуете себя уверенно и готовы на любой диалог. Но что делать, если природа не наградила вас идеальными зубами? Чаще отмалчиваться и не привлекать к себе внимание? Поменьше улыбаться, что бы скрыть кривизну зубов? Ни в коем случае! Не стоит тратить нервы на проблему, которая решается легко и просто.
Установите керамические брекеты в клинике «Евродент» и забудьте о неровных зубах!
Преимущества керамических брекет-систем
Выравнивание зубного ряда – процесс не быстрый, сколько носить керамические брекеты может определить только квалифицированный врач-стоматолог. Но, именно благодаря этой процедуре, зубы пациента становятся ровными, а прикус – правильным. В зависимости от того, как выглядят современные брекет-системы — они могут быть и стильным аксессуаром, и едва заметной изящной конструкцией. Сегодня брекеты с удовольствием устанавливают и подростки, и бизнесмены, и знаменитости.
Керамические брекеты имеют ряд преимуществ:
- Они имеют эстетичный вид и практически незаметны на зубах благодаря тому, что поверхность брекетов матовая, а цвет материала подбирается под цвет эмали пациента. Именно поэтому их выбирают пациенты, которые не хотят акцентировать внимание на своих стоматологических проблемах;
- Благодаря использованию керамических брекетов исправляется кривизна зубов любой сложности с минимальным дискомфортом для пациента;
- Керамические брекеты, не смотря на кажущуюся хрупкость материала, обладают хорошей прочностью.

- Они устойчивы к пищевым красителям (кофе, сок и пр.) и не портят зубную эмаль, что подтверждают многочисленные отзывы пациентов.
- Стоимость керамических брекетов доступна большинству пациентов. Цена на керамические брекеты значительно ниже стоимости элайнеров или сапфировых брекетов.
Керамические брекеты эстетичны, удобны в эксплуатации и выгодны по цене. Поэтому стоматологи клиники «Евродент» советуют исправлять проблемы с прикусом и неровными зубами именно при помощи установки керамических брекетов. Но все же, перед принятием каких либо решений, обратитесь сначала за консультацией к специалистам нашей клиники (уточнить, к примеру, какие выбрать элайнеры?).
Правильный уход и никаких проблем!
Как и любая другая система для выравнивания прикуса, керамические брекеты нуждаются в правильном уходе. От этого зависит не только длительность эксплуатации системы, но и здоровье зубов и ротовой полости в целом.
Уход за керамическими брекетами прост — система настолько тщательно разработана, что не требует специальных манипуляций:
- Гигиена.
Чтобы предотвратить образование налета, зубного камня или бактерий, необходимо тщательно ежедневно чистить зубы. Не бойтесь керамических брекетов, они не станут вам помехой в этом деле. - Регулярное посещение стоматолога. Обязательно посещайте своего врача для того, чтобы он мог следить за состоянием брекет-системы и своевременно ее корректировать.
Исправление прикуса в клинике «Евродент» при помощи керамических брекетов вернет вам радость свободного общения! Запишитесь на прием и узнайте точно, где лучше ставить брекеты?
На основании: 7 голосовКерамические брекеты цена установки под ключ доступная в клинике Специалист
Исправление прикуса — не только желание сделать улыбку красивой, но и жизненная необходимость позаботиться о здоровье своих зубов. Брекет-система — один из эффективных методов для исправления кривых зубов. Существует несколько вариантов конструкций, отличающихся материалом, среди которых — керамические брекеты.
Представляют собой ортодонтическую конструкцию, выполненную из поликристаллического оксида алюминия (стоматологическая керамика). Крепятся с вестибулярной стороны зубов, отличаются высокой эстетикой, практически незаметны в полости рта.
Отличительным свойством керамических брекетов является их универсальность: подходят к любому цвету эмали. Брекеты соединяются в полости рта металлической дугой.
Керамика идеальный материал для стоматологии! Керамические брекеты весьма эстетичны и привлекательны на вид, благодаря материалу керамики. Благодаря эстетической привлекательности керамических брекетов, они часто воспринимаются не как медицинский аппарат, а как модный аксессуар, особенно в среде молодежи. Делая выбор между металлическими и керамическими брекетами, пациенты все чаще выбирают второй вариант. Керамические брекеты можно носить с 11-летнего возраста.
Устанавливают брекеты в следующих случаях: При наличии промежутка между зубами (так называемых трем и диастем) Для вытягивания зуба при неправильном прорезывании При необходимости перемещения зубов, в том числе и вследствие потери зуба.
Показания и противопоказания к установке
Ортодонтическая конструкция устанавливается при необходимости исправления неправильного прикуса. Показания для установки керамических брекетов:
- Неправильное положение зубов в ряду (дистопированные зубы, тремы, диастемы).
- Аномалии строения зубного ряда, нарушение прикуса.
- Нарушение дикции и трудности с пережевыванием пищи.
- Нарушение эстетики улыбки.
- Неправильное смыкание челюстей и зубов.
Противопоказания для установки керамических брекетов можно разделить на абсолютные (невозможно использование конструкции) и относительные (в данный момент лечение невозможно, необходимо решить определенные проблемы).
Абсолютные противопоказания:
- Отсутствие достаточно большого количества зубов.
- Расстройства психики в острой форме.
- Серьезные заболевания эндокринной и иммунной систем.
- Болезни костной ткани.

- Сердечно-сосудистые заболевания.
- Туберкулез.
- Онкология.
- ВИЧ.
- Наличие дентальных имплантов.
Относительные противопоказания:
- Воспалительные заболевания десен (пародонтоз, пародонтит).
- Плохая гигиена.
- Индивидуальная реакция в виде аллергии на материалы устанавливаемой конструкции.
- Бруксизм.
- Болезни височно-нижнечелюстного сустава.
- Наличие молочных зубов.
- Беременность.
При осмотре ортодонт выявляет противопоказания, если они относительные, то предлагает пройти лечение для решения проблемы. При абсолютных противопоказаниях стоматолог может предложить другие методики исправления прикуса (пластинки, каппы, ретейнеры).
Плюсы и минусы
Исправление прикуса при помощи брекет системы имеет свои преимущества и недостатки. Плюсы керамической конструкции:
- Высокие эстетические характеристики, цвет брекетов подходит под оттенок эмали зубов.

- Аллергические реакции исключены.
- Изделие не повреждает мягкие ткани полости рта.
- Не оказывает негативного влияния на эмаль.
- Быстрое привыкание после установки.
- Стоимость исправления прикуса керамическими брекетами ниже, чем лингвальными или сапфировыми.
К недостаткам керамических брекетов относятся:
- Исправление прикуса длится дольше, чем при использовании металлической конструкции.
- Возможно частичное окрашивание от пищевых продуктов.
- Высокая хрупкость, необходим бережный уход.
- При плохой гигиене полости рта вероятность возникновения кариеса увеличивается.
- Сроки исправления прикуса дольше, чем при использовании металлической конструкции.
Перед установкой системы для коррекции прикуса врач оценивает риски и подробно рассказывает о них пациенту, чтобы он принял окончательное решение.
Керамические брекеты «под ключ»
запишитесь на бесплатную консультацию
Цены на керамические брекеты в нашей клинике остаются одними из самых доступных в Москве.Стоимость керамических брекетов у нас ниже чем в других стоматологических клиниках. Прием по ортодонтии зубов ведет только опытный стоматолог-ортодонт. Звоните в нашу стоматологическую клинику, опытные ортодонты помогут Вам правильно подобрать керамические брекеты.
Исправление прикуса работы по ортодонтии
стоимость услуг на исправление прикуса
| код | ОРТОДОНТИЯ (Исправление прикуса) | стоимость / руб |
|---|---|---|
| Б1 | Осмотр, консультация врача-ортодонта, составление плана лечения | Бесплатно |
| Б2 | сапфировые брекеты | 144 900 АКЦИЯ! |
| Б3 | керамические брекеты | 134 900 АКЦИЯ! |
| Б4 | металлические брекеты | 124 900 АКЦИЯ! |
| Star Smile | ||
| Б52 | 3D диагностика | Бесплатно |
| Б53 | до 10 капп | 95 000 АКЦИЯ! |
| Б54 | до 20 капп | 150 000 АКЦИЯ! |
| Б55 | Full (не ограничено) | 195 000 АКЦИЯ! |
| Flexi элайнеры | ||
| Б52 | Диагностика, подготовка сцены, виртуальный Set up зубов | 20000 |
| Б54 | Easy-ONE (для клин. случая от 6 до 10 флексов) (1 челюсть) |
76000 |
| Б55 | Light-ONE (для клин.случая от 11 до 16 флексов) (1 челюсть) | 114000 |
| Б55 | Middle-ONE (для клин.случая от 17 до 32 флексов) (1 челюсть) | 130000 |
| Б55 | Extra-full-ONE (для клин.случая от 33, без ограничения) (1 челюсть) | 160000 |
| Б56 | Easy (для клин.случая от 6 до 10 флексов) (2 челюсти) | 105000 |
| Б57 | Light (для клин.случая от 11 до 16 флексов) (2 челюсти) | 130000 |
| Б58 | Middle (для клин.случая от 17 до 32 флексов) (2 челюсти) | 170000 |
| Б59 | Extra-full (для клин.случая от 33, без ограничения) (2 челюсти) | 215000 |
| БРЕКЕТ-СИСТЕМЫ (невидимые брекеты) | ||
| Б8 | Выравнивание зубов Инкогнито (Германия) — 2 челюсти | 330 000 |
| КАППЫ (элайнеры выравнивание зубов без брекетов) | ||
| Инвизилайн (Invisalign) | ||
| Б52 | Выравнивание зубов каппами Invisaling США — 2 челюсти | 320 000 |
После 21:00 ночная тарификация. К общей стоимости лечения прибавляется 30% (при первичном обращении) |
||
Виды керамических брекетов
Брекеты из керамики бывают разными по способу крепления разделяются на виды:
- Безлигатурные, самолигирующие. Нет лигатур, используются замочки для крепления. Конструкция устанавливается быстро.
- Лигатурные. Крепятся к металлической дуге при помощи кольца или проволоки. Недостатком является повышенное скопление остатков пищи между лигатурами. Бывают двух типов:
- Поликристаллические с матовым оттенком, приближенным к натуральной эмали.
- Монокристаллические. Представляют собой опорные пластинки из стоматологического сапфира, совсем незаметны на зубах.
Когда пластинки сделаны из цельной керамики, хрупкость изделия увеличивается. При использовании комбинированной конструкции прочность брекетов повышается.
Установка керамических брекетов
При установке керамические брекеты располагаются на передней поверхности зубов, точно так же, как и традиционные металлические брекеты.
При этом керамика менее заметна и также вы можете подобрать соответствующей расцветки лигатуру (металлическую или совсем незаметную белую). По размеру керамические брекеты крупнее, чем металлические, но за счет того, что они почти сливаются с цветом зубов, этот маленький недостаток является несущественным. Если у вас возникла необходимость в установке керамических брекетов, добро пожаловать в стоматологию Специалист!
Уход за керамическими брекетами
Помните!, что при ношении керамических брекетов следует избегать продуктов питания, содержащих едкие искусственные красители, в том числе сократить употребление крепкого кофе и чая. Керамические брекеты более хрупкие, чем металлические брекеты, поэтому также необходимо ограничить употребление слишком твердых продуктов и, ни в коем случае не пытаться разгрызать зубами орехи. При сильном кусании слишком твердых продуктов, керамический брекет может отвалиться значит, необходимо нанести визит врачу, чтобы он вернул брекет на место.
Специфика исправления прикуса керамическими брекетами у детей и взрослых
Исправление прикуса у детей и взрослых имеет свои особенности. В детском возрасте происходит активный рост челюстей и зубов, поэтому врач при нарушениях прикуса может рекомендовать съемные пластинки.
После полной смены молочных зубов на постоянные в подростковом возрасте показано использование брекет-системы. Керамическая конструкция практически незаметна в полости рта, пациент быстро привыкает к брекетам, поэтому подросток достаточно легко воспринимает новый период в свой жизни.
Во взрослом возрасте для коррекции прикуса потребуется больше времени и усилий. Зубочелюстная система уже сформирована, поэтому для исправления положения зубов и челюстей необходимо запастись терпением. Картина может осложняться ретинированными или дистопированными зубами (чаще всего такими единицами являются восьмерки).
Для решения этой проблемы необходимо вмешательство стоматолога хирурга.
Во взрослом возрасте больше противопоказаний к проведению коррекционной процедуры, а также может потребоваться терапевтическое лечение кариеса для санации полости рта.
Популярные производители
- Брекеты Damon Clear — одни из самых популярных керамических конструкций. Плавно удерживаются в дуге, самолигирующие. Полностью выполнены из поликристаллического материала без использования металла (включая паз и крышку брекета).
- SL Clarity от 3M Unitek — самолигирующиеся, дуга в пазу брекета удерживается за счет маленьких клипсов.
- Clarity Advanced — прочные, отличаются миниатюрным размером, сделаны из поликристаллического материала, по цвету идеально сочетаются с эмалью зубов.
- In-Ovation C от Gas — самолигирующиеся, обеспечивают превосходный контроль перемещения зубов.
- QuicKlear от Forestadent — керамические самолигирующиеся.
- Reflection от Ortho Technology — выполнены из поликристаллического оксида алюминия, не оказывают негативного влияния на эмаль зубов.
- Mistique от GAS — благодаря покрытию из оксида кремния не меняют цвет при употреблении красящей пищи.
Сколько нужно носить керамические брекеты?
Изменения в лучшую сторону после начала лечения брекетами пациенты увидят уже через несколько месяцев. Желаемого результата добиться можно через год или полтора после установки конструкции. На длительность ношения брекетов влияют несколько факторов:
- возраст пациента;
- индивидуальные особенности организма;
- материал, из которого изготовлены брекеты.
Цена
Стоимость лечения неправильного прикуса при помощи керамических брекетов отличается в зависимости от производителя конструкции, индивидуальных особенностей пациента, сложности клинической картины в полости рта, длительности полноценного лечения.
В нашей клинике предлагаем услугу брекеты “под ключ”, когда проводится лечение комплексно, и в стоимость включены самые необходимые манипуляции.
Периодически проводятся акции и разные виды услуг. Успейте поймать выгодное спецпредложение на установку керамических брекетов и купить прием врача по выгодной цене.
Существует два варианта оплаты лечения: одномоментный и в рассрочку. В первом случае пациент вносит всю сумму за лечение полностью. Во втором — при каждом посещении ортодонта пациент производит оплату за лечение поэтапно.
Отзывы
Керамические брекеты привлекают пациентов за их высокие эстетические характеристики. Отзывы пациентов подчеркивают, что брекеты из керамики удобные в повседневной жизни, к ним можно быстро привыкнуть, и конструкция становится незаметной в полости рта. Положительные отзывы пациентов доминируют благодаря удобству и комфорту при использовании аппарата из керамики.
Отзывы врачей подчеркивают, что выбор вида конструкции для исправления прикуса остается за пациентом. Ортодонт расскажет о всех методах коррекции прикуса в каждом конкретном случае.
Чтобы лечение керамическими брекетами принесло наиболее эффектный результат, важно правильно выбрать врача, который расскажет вам обо всех тонкостях лечения и клинику, где используется современное оборудование и новейшие материалы.
На нашем сайте вы сможете узнать больше о керамических брекетах, посмотреть реальные фото на зубах довольных пациентов. На вопрос о брекетах : “есть ли смысл их ставить?” можно ответить однозначно “Да!”.
Наши врачи-стоматологи
Сафонова Ольга Александровна
стоматолог-ортодонт
Арутюнян Тамара Сергеевна
стоматолог-ортодонт
Ганиева Амина Гиматовна
стоматолог-ортодонт
Терчанян Венера Кареновна
стоматолог-ортодонт
Лаптева Анна Андреевна
стоматолог-ортодонт
Керамические брекеты | Брекеты из керамики цена в стоматологии в Ачинске
Неправильный прикус, кривизна отдельных единиц или зубного ряда, нарушения дикции вызывают психологический и эстетический дискомфорт, который требует устранения.
С этой целью справляются специальные ортодонтические устройства: пластиковые, металлические, сапфировые. Но симпатии клиентов завоевали керамические брекеты, предлагающие оптимальное соотношение цены и качества.
Установку конструкций в виде керамических брекетов для выравнивания зубного ряда проводят ортодонты клиники «32 Дент». Они помогут исправить прикус и вернут уверенность в собственной привлекательности. Нужно только записаться на прием и пройти курс лечения.
Особенности ортодонтической керамики
Устройства получили распространение, благодаря малозаметности на зубах. Выделяется только металлическая дуга. Для повышения эстетики некоторые производители делают ее белого цвета. Фото белых брекетов и цены пациенты могут посмотреть на нашем сайте. Устройства из керамики крепятся к наружной стороне зубов с помощью специального клея.
В стоматологии используются 2 разновидности керамических брекетов:
- поликристаллические: непрозрачные, идентичные цвету эмали;
- монокристаллические: прозрачные, не содержат металлических элементов.

Корректирующие устройства устанавливаются только на здоровые зубы. Предварительно нужно вылечить кариес, гингивит, периодонтит, пульпит. Перед фиксацией необходима чистка зубов. Брекеты из керамики воздействуют на зубы мягче по сравнению с металлическими изделиями. Это увеличивает срок ношения. Зато они выглядят эстетичней, просты в уходы, комфортны в использовании.
Виды конструкций по типу фиксации
В зависимости от крепления дуги брекеты из керамики выделяются 2 разновидности:
- Лигатурные. Фиксация отдельных элементов происходит с помощью эластичных резинок или проволоки – лигатур. Это ортодонтическая классика. Устройства справляются с тяжелыми дефектами, цена на такие керамические брекеты невысокая. Но визиты в клинику придется совершать каждые 2-3 недели. Это необходимо для коррекции натяжения силовой дуги. В нашей клинике можно установить белые, прозрачные и разноцветные крепления. Последний вариант выбирают для детей и подростков.

- Самолигирующиеся (безлигатурные). Отличаются конструкцией: дуга удерживается за счет клипс-замочков. Отсутствие скоб, резинок обеспечивает аккуратный вид: устройства незаметны на зубах. За ними проще ухаживать. Сокращается количество посещений к стоматологу – всего раз в 2 месяца.
Результативность использования разных видов одинакова. Разница в стоимости. Дешевле лигатурные устройства. Цена керамических брекетов на зубы без лигатур выше.
Этапы лечения
Установка систем для коррекции в виде керамических брекетов безболезненна, но продолжительна по времени. Требуется 4-5 визитов к ортодонту. Сначала проводится осмотр и консультация. При необходимости пациента отправляют к хирургу и терапевту. После санации ротовой полости делаются рентген черепа и ортопантомограмма (панорамный снимок зубов), фотографии клиента в профиль и анфас.
После разработки плана коррекции проводится установка. Брекеты фиксируются посредством клея и соединяются дугой. Процедура может затянуться до 2-х часов.
В первые дни происходит адаптация. Человек привыкает к конструкциям. В этот период может наблюдаться дискомфорт, иногда нарушается дикция. Для минимизации неприятных ощущений поверхность покрывают стоматологическим воском. Продолжительность адаптации зависит от индивидуальных особенностей. Сильную боль допускается снимать анальгетиками.
Продолжительность коррекции
Средний срок ношения брекет-систем – 18 месяцев. При легких аномалиях достаточно года. Улучшения начинают появляться через 3-4 месяца. Но прерывать курс лечения после изменений в лучшую сторону нельзя. Это приведет к регрессу: зубы вернутся в первоначальное положение. Курс лечения продолжительный, однако, красивая улыбка, исправленный прикус этого стоят.
Удаление устройств для коррекции
Снимают брекеты специальными инструментами. Нельзя проводить манипуляцию самостоятельно. Во время удаления керамика может раскрошиться. Поэтому обязательна полировка бором для удаления с эмали маленьких кусочков и клеящего состава.
На этом выравнивание не заканчивается. Требуется установка съемных или несъемных ретейнеров.
Правила ухода
Пренебрежение гигиеной приводит к развитию кариеса. Это весомый повод для снятия брекетов.
Чтобы не прерывать лечение и не допустить развития воспалений, нужно придерживаться правил по уходу за полостью рта:
- чистить зубы после каждого приема пищи;
- использовать V-образную щетку;
- тщательно вычищать пространство под дугой и между зубами, используя ершик и флоссы.
Пересмотрите рацион питания. Керамику могут повредить твердые продукты: сушки, яблоки, морковь. Откажитесь от жевательных резинок, тянущихся конфет. Нельзя употреблять слишком горячие блюда и холодные напитки. Перепады температур приведут к отклеиванию брекетов. Желательно свести к минимуму употребление кофе и других красящих продуктов. Бюджетные конструкции от этого могут изменить цвет.
Достоинства конструкций из керамики
Керамические брекеты завоевали популярность среди пациентов.
Это объясняется положительными моментами в период использования:
- Биосовместимость с человеческим организмом. Исключаются аллергические реакции.
- Безопасность: давление на мягкие околозубные ткани минимально. Сосуды не испытывают нагрузки, не возникает нарушения кровообращения.
- Компактность: большинство моделей изготавливается из мелкодисперсной керамики. Это способствует уменьшению размеров.
- Непродолжительный период адаптации брекетов из керамики. Важное достоинство керамических устройств для коррекции – отсутствие острых углов. Гладкая структура материала обеспечивает мягкое воздействие на ткани. Это снижает травмоопасность для десен, препятствует натиранию щек, внутренней поверхности губ. Привыкание проходит намного быстрее по сравнению с металлическими аналогами.
- Экологичность: во время ношения не выделяются токсичные вещества, что обеспечивает безопасность.
- Устойчивость к деформациям. При соблюдении рекомендаций врача, бережном отношении и правильном уходе конструкции не сломаются.
Они сохранят рабочие показатели на протяжении всего периода коррекции. - Прочная фиксация. Ровная, гладкая структура обеспечивает надежное сцепление с зубами. Брекеты легко крепятся и не отклеиваются.
- Эстетичность: цвет пластин идентичен оттенку зубной эмали. Чтобы сделать их еще более незаметными, можно использовать белые дуги.
Еще сомневаетесь, какие ортодонтические конструкции брекетов лучше установить? Выбирайте прочную, безопасную, эстетичную керамику. Врачи клиники «32 Дент» подберут вид, выполнят быструю установку. Верните себе красивую улыбку. Звоните, вам понравится результат.
Почему на подтяжках есть резинки?
Если вы новичок в ортодонтическом лечении, у вас может возникнуть много вопросов. В основном о том, как их используют. Как долго вам нужно носить брекеты для плана лечения? Как эффективно чистить брекеты? Как часто нужно чистить зубы? А зачем на подтяжках резинки?
К счастью, ответы приходят легко.
Когда вы впервые приступаете к своему плану ортодонтического лечения, представление о том, во что вы идете, перед тем, как начать, может многое прояснить.Например, знание того, как работают брекеты, может стать отличным началом.
Поскольку ваши зубы закрепляются в челюстной кости, вам нужно облегчить их прохождение, чтобы привести их в нужное положение. План лечения с брекетами разработан для систематического выполнения этого. Они используют естественные способности вашего тела к наращиванию костей, чтобы привести зубы и челюсть в идеальное положение.
Две клетки активно участвуют в процессе построения кости:
- Остеокласты. В случае длительного давления ваше тело сигнализирует этим клеткам растворить части кости в точке напряжения. Это необходимо для предотвращения потенциальных переломов.
- Остеобласты. Эти клетки обеспечивают ваши кости минералами, которые помогают им восстанавливаться.
Как работают скобы, это использовать этот механизм в ваших интересах.
Они также оказывают постоянное давление на зубы, чтобы запустить процесс наращивания костей. Тем не менее, они направляют напряжение, чтобы ваши зубы могли соответственно двигаться через челюстную кость.
Во время ортодонтического лечения ортодонты устанавливают на зубы брекеты. Затем они продевают через него проволоку и затягивают ее в зависимости от того, какое давление нужно оказать на зубы.
Хотя все это звучит банально, остался один вопрос без ответа. Если брекеты и проволока фиксируют зубы, почему на брекетах есть резинки? И что именно они делают?
Каково их назначение?Почему на подтяжках есть резинки? Оказывается, они не столько забавный аксессуар, сколько необходимость.Это ортодонтическое лечение выравнивает ваши зубы и челюсть. Однако то, что мы обсуждали ранее, казалось, касается только первого. Так как же выровнять челюсть во время плана лечения?
Поэтому на подтяжках есть резинки. В то время как проволока и брекеты возвращают ваши зубы в нужное русло, эти маленькие резинки, также называемые эластичными лигатурами, помогают привести вашу челюсть в правильное положение прикуса.
Из-за этого производители создают невероятно тугие эластичные лигатуры.В конце концов, ваша челюсть приспосабливается к движению.
Это не единственное, что делают резинки. Помимо сохранения ровного положения челюсти, они также дополнительно подтягивают брекеты, что помогает в ортодонтическом лечении.
Когда вы начинаете носить резинки для подтяжек?При этом, есть ли конкретный момент, когда вы начинаете носить резиновые ленты с подтяжками? Не обязательно. Но стоматологи устанавливают их в последнюю очередь, когда вы впервые получаете план лечения.В этом ортодонтическом лечении лигатуры являются единственной съемной частью. Просто не забывайте заменять их после каждого приема пищи. В конце концов, вы же не хотите, чтобы резинка соскочила с подтяжек.
Обеспокоены тем, как они выглядят? Вот пять способов выпрямить зубы, не испортив внешний вид. Выберите лингвальные скобки: Лингвальные скобки — это разновидность зубных скоб.
Однако вместо того, чтобы прикрепляться к передней части зубов, язычные брекеты исправляют неправильный прикус через заднюю часть зубов.
Из-за своего расположения эти скобы менее заметны. Если при этом вы не откроете широко рот и не наклоните голову назад, никто не узнает, что вы проходите ортодонтическое лечение.
Выбирайте керамические брекеты: На протяжении многих лет ортодонтия вносила усовершенствования в стоматологические брекеты для устранения их недостатков, особенно в отношении эстетики.
Хотя керамические брекеты более заметны, чем язычные брекеты, они менее заметны по сравнению с другими металлическими брекетами, поскольку они имеют цвет зуба или прозрачный вид.
Будьте ясны с Invisalign: Еще одна разработка в ортодонтии, которая понравится тем, кто боится носить брекеты, — Invisalign. Invisalign — это почти прозрачный лоток, созданный на компьютере.
Благодаря этой технологии вы выпрямляете зубы, используя прозрачные капы, которые корректируют каждые две недели или около того.
Поскольку они прозрачные, на фотографиях их не видно.
Еще одной характеристикой Invisalign, которая может понравиться некоторым, является его съемность.Вы можете снимать прибор во время еды, чистки зубов и т. Д., Если вы держите его включенным не менее 21 часа.
Обними свои подтяжки! Если ни один из этих вариантов вам не понравился, почему бы вам просто не использовать брекеты по максимуму? Вы можете наслаждаться этим опытом и экспериментировать с эластичными красками для зубов, чтобы «украсить» свои зубы. Кронштейны также доступны в золоте.
Керамические брекеты
Поздравляем! Вы приняли решение пройти ортодонтическое лечение в нашем офисе в Паркер, Колорадо.Пришло время выбрать среди различных вариантов бытовой техники. Традиционные металлические брекеты и проволока, лингвальные брекеты, ряд элайнеров — все они могут порекомендовать их. А для некоторых людей явным фаворитом являются керамические брекеты.
Керамические брекеты работают как обычные металлические брекеты.
Брекеты прикреплены к передней части каждого зуба, а резиновые ленты, окружающие брекеты, удерживают дугу, которая постепенно перемещает зубы в выравнивание.
Керамические брекеты, однако, используют брекеты из прозрачной керамики или керамики цвета зубов или фарфора, которые красиво сочетаются с цветом вашего зуба.Эластичные лигатуры или резинки могут быть выбраны в соответствии с брекетами или вашей эмалью. Существуют самолигирующиеся керамические брекеты, в которых вообще не используются ленты. Технологии даже работают над способами сделать арочную проволоку менее заметной! Конечным результатом являются брекеты, которые практически невозможно обнаружить.
Если вам нужен менее очевидный прибор по профессиональным или личным причинам, поговорите с нами о керамических брекетах. Как всегда, прежде чем принять решение, необходимо учесть и другие факторы, которые мы будем рады обсудить с вами.
- Керамические скобы очень прочные, но все же более хрупкие, чем металлические модели.
Если вы занимаетесь контактным спортом, это может быть не для вас. (Но какие бы подтяжки вы ни выбрали, при занятиях спортом надевайте капу.) - Керамические брекеты могут быть не идеальными в зависимости от необходимого выравнивания и исправления прикуса. Им также может потребоваться немного больше времени, чтобы выровнять зубы. Мы сможем сказать вам, подойдут ли вам керамические брекеты и может ли потребоваться более длительный период времени, чтобы привести зубы в идеальное положение.
- Брекеты иногда могут быть несколько больше (хотя это не всегда так) и, поскольку они абразивные, часто рекомендуются только для верхних зубов. Таким образом, нижние зубы не будут сталкиваться с верхними зубами.
- Гигиена полости рта может быть сложнее с керамическими скобами. Хотя современные брекеты не так подвержены окрашиванию, вам все же нужно быть осторожным, чтобы удалить налет, который может скапливаться вокруг брекетов. И полосы чувствительны к окрашиванию обычных подозреваемых — кофе, чая, колы, черники или любой сильно окрашенной еды или напитка.

- Стоимость будет зависеть от выбранного вами метода лечения. Поговорите с нами о сравнении стоимости с другими ортодонтическими процедурами.
Керамические брекеты, поскольку они менее заметны, являются популярным вариантом ортодонтии, особенно для подростков старшего возраста и взрослых. Если вам интересно, поговорите с доктором Джеффри Коллинзом об этом эффективном способе выпрямления зубов — незаметно. Керамика может стать отличным решением для создания стойкой красивой улыбки.
Типы брекетов: керамические брекеты
Продолжая нашу серию о различных типах брекетов и ортодонтических методах лечения, которые помогут выпрямить вашу улыбку, сегодня мы обсуждаем керамические брекеты.
Они похожи на серебряные и золотые брекеты, но сделаны из керамического материала, который полупрозрачен по сравнению с классическими металлическими брекетами.
Керамические брекеты против металлических
Керамические брекеты были впервые изготовлены в 1980-х годах, когда их называли «прозрачными брекетами».
После внедрения адгезива для фиксации металлических скобок на зубах в 70-е годы врачи и ортодонты работали над тем, чтобы сделать их менее заметными.
Керамические брекеты работают так же, как и металлические брекеты.Брекеты изготовлены из пластика / керамики, которые удерживают проволоку на месте для выпрямления зубов.
Поскольку они работают точно так же, выбор керамических брекетов вместо металлических — это в основном эстетический выбор. Многим людям — взрослым или работающим специалистам — не нужны очевидные серебряные или золотые скобки. Прозрачные брекеты — отличное решение. Хотя они не полностью невидимы, они гораздо менее заметны, чем другие варианты.
Держите их в чистоте
Как и в случае с обычными металлическими скобами, вам необходимо позаботиться о своей ортодонтии и гигиене зубов с помощью керамических скоб.Чистите зубы после каждого приема пищи и обязательно пользуйтесь зубной нитью каждый день.
Керамические брекеты немного отличаются от серебряных и золотых в том, что касается их чистоты.
В то время как металлические брекеты могут не пачкать еду и напитки, керамические брекеты определенно могут, особенно от более темных напитков, таких как кофе. Обязательно чистите зубы, чтобы очистить не только участки вокруг брекетов, но и сами брекеты. Если вам нужны прозрачные брекеты, потому что они менее заметны, вы хотите, чтобы они оставались прозрачными и не окрашивались!
Они того стоят?
Поскольку керамические брекеты — новая разработка в ортодонтическом лечении, они могут быть дороже металлических.Вам просто нужно решить, стоит ли эта цена всех выгод, которые вы получаете взамен.
С керамическими брекетами вы получите менее очевидное ортодонтическое лечение. Вы можете возразить, что Invisalign предлагает полностью прозрачные элайнеры, которые полностью избавляют от брекетов. Так почему же люди все еще выбирают керамические брекеты? Invisalign дороже керамических брекетов и не может справиться с более сложными ортодонтическими проблемами. Вы также должны следить за своими подносами с помощью Invisalign и быть достаточно дисциплинированными, чтобы носить их регулярно; керамические брекеты прикрепляют к зубам, поэтому их невозможно потерять или забыть.
Есть вопросы по керамическим брекетам? Позвоните нам сегодня по телефону (843) 4-BRACES, чтобы назначить встречу и узнать, подходите ли вы для них!
типов подтяжек | Round Rock, TX
Традиционные металлические скобы
Традиционные металлические брекеты — самый распространенный тип брекетов, которые сегодня более удобны, чем когда-либо прежде. Металлические скобы из высококачественной нержавеющей стали позволяют выпрямить зубы с помощью металлических скоб и дуг. С металлическими скобами у вас есть возможность добавить цветные резинки (резинки) для более уникальной и яркой улыбки.
Самолигирующие брекеты
Самолигирующие брекеты изготавливаются из тех же материалов, что и традиционные брекеты. Однако самолигирующиеся брекеты не требуют использования эластичных материалов, что означает меньшее количество посещений и меньшее трение на зуб. Самолигирующиеся брекеты поставляются с традиционными металлическими, керамическими или прозрачными брекетами.
Они того же размера, что и металлические скобки, но вместо резинки используется специальный зажим, который помогает дуге направлять зубы на место. Зажим помогает уменьшить давление, оказываемое на зуб, и требует меньшего количества регулировок, поскольку нет резинки, которую можно было бы заменить.
Прозрачные (керамические) брекеты
Керамические брекеты сделаны из прозрачных материалов и поэтому менее заметны на зубах, чем металлические брекеты. По этой причине керамические брекеты используются в основном у подростков старшего возраста и взрослых пациентов, у которых есть косметические проблемы. Хотя они визуально менее заметны, они требуют большего внимания к гигиене полости рта, поскольку керамические брекеты больше и более хрупкие, чем их металлические аналоги. По этим причинам керамические брекеты чаще используются на передних верхних зубах, чем на нижних.
Прозрачные выравниватели
Элайнеры Clear — это серия невидимых, съемных и удобных акриловых ванночек, которые выпрямляют зубы, как брекеты.
Элайнеры не только невидимы, но и снимаются, поэтому вы можете есть и пить все, что хотите, во время лечения, а чистка зубов щеткой и зубной нитью — меньше хлопот. Элайнеры удобны и не содержат металла, который мог бы вызвать ссадины во рту во время лечения.
Лингвальные брекеты
Лингвальные брекеты скрыты за зубами и поэтому «невидимы», когда вы улыбаетесь.Лингвальные брекеты на 100% адаптированы к форме ваших зубов; металлическая техника создана специально для вас. Лингвальные брекеты — очень разумный вариант для спортсменов, моделей, актеров / актрис, музыкантов, играющих на духовых инструментах, и взрослых профессионалов.
Керамические брекетыClarity | Премьер Ортодонтия
Керамические брекеты Clarity — это обычные брекеты с проволокой, которые более незаметны. Керамический материал, разработанный 3M ™ для брекетов, очень похож по цвету и внешнему виду на ваши естественные зубы.Когда пациенты хотят, чтобы брекеты на зубах были менее заметными, керамические брекеты Clarity являются отличным вариантом.
Керамические брекеты по сравнению с прозрачными элайнерами
Несмотря на то, что существуют другие ортодонтические устройства, которые в основном прозрачные, такие как Invisalign, они не обязательно могут исправить умеренные и тяжелые ортодонтические состояния с помощью систем брекет-брекетов. Для пациентов, которым требуется более интенсивное лечение, но которые все же желают более высокого уровня свободы зрения, керамические брекеты Clarity являются отличным вариантом.Invisalign — фантастическая система для правильного случая, но природа ортодонтии такова, что без прикрепления настоящих брекетов к зубам степень перемещения зубов и направление движения зубов ограничены по сравнению.
Если вы изучаете варианты ортодонтического лечения, сейчас самое лучшее время. Превосходные ортодонтические исследования и разработки специальных материалов и методов производства позволили изготавливать керамические брекеты различного цвета, которые работают так же хорошо, как и традиционные металлические брекеты.
Наша цель — предоставить лучший ресурс для ортодонтии в Таузенд-Окс, Окснард и Карпинтерия, а часть того, чтобы быть лучшим ресурсом, — это предоставление большинства вариантов и самых современных методов лечения. Если вы подумываете о каком-либо из наших ортодонтических процедур, мы рекомендуем вам запланировать бесплатное обследование. Каждый пациент и каждый случай уникальны. Мы сможем оценить ваш случай, объяснить возможные варианты и позволить вам принять обоснованное решение в отношении ортодонтического лечения.
Есть много вариантов, которые стоит рассмотреть.Лучший план лечения зависит от вашего конкретного случая. Прежде чем вы сможете начать думать о том, какой вариант выбрать, вам следует сначала запланировать оценку. Наши врачи внимательно изучат ваш случай, разработают уникальный для вас план лечения, а затем предоставят вам устройство и варианты цен.
Мы здесь, чтобы помочь вам
Найди свою улыбку
Типы брекетов — Oral-B
Какие у меня есть варианты?
Сегодняшняя ортодонтия предлагает больше видов скобок, чем когда-либо прежде.
Проверьте свои варианты:
Металлические скобы / Традиционные скобы
Это металл скобки и провода, которые представляют большинство людей, когда слышат слово «скобки». Однако современные брекеты меньше и менее заметны, чем пресловутые брекеты «металлический рот», которые помнят многие взрослые. Кроме того, новые дуги, активируемые теплом, используют тепло вашего тела, чтобы зубы двигались быстрее и менее болезненно, чем раньше.
Плюсы: Самый дешевый тип; цветные полосы дают детям возможность проявить себя
Минусы: Наиболее заметный тип брекетов
Керамические брекеты
Керамические брекеты имеют тот же размер и форму, что и металлические брекеты, за исключением того, что у них есть брекеты цвета зубов или прозрачные брекеты, которые переходят в зубы.Некоторые даже используют провода цвета зубов, чтобы быть еще менее заметными.
Плюсы: Менее заметны, чем металлические скобы; перемещают зубы намного быстрее, чем прозрачные пластиковые элайнеры (Invisalign)
Минусы: Дороже металлических брекетов; Брекеты могут легко испачкаться, если пациенты плохо о них заботятся.
Самый продвинутый для здоровья десен во время и после брекетов
662
Лингвальные брекеты
Лингвальные брекеты такие же, как и традиционные металлические брекеты, за исключением того, что брекеты и проволока размещаются на внутренней стороне зубов.
Плюсы: Невидимость снаружи
Минусы: Сложно чистить; более дорогой; не подходит для тяжелых случаев; поначалу может быть более неудобно; регулярная корректировка занимает больше времени и труднее, чем с традиционными брекетами. Если вы рассматриваете эту форму брекетов, подумайте о переходе на электрическую зубную щетку Oral-B iO — ее уникальная круглая головка щетки и микровибрации помогают очищать все поверхности зуба во время чистки с помощью 3D-отслеживания и распознавания AI.
Invisalign
Invisalign состоит из серии от 18 до 30 изготовленных на заказ прозрачных пластиковых элайнеров, похожих на капу. Элайнеры съемные и меняются каждые 2 недели.
Плюсы: Практически не видно; Пациенты могут есть и пить все, что захотят.
Минусы: Не работает при серьезных стоматологических проблемах; доступно только для взрослых и подростков, но не для детей; более дорогой вариант; можно легко потерять и заменить дорого; лечение может занять больше времени.
Независимо от того, какой тип брекетов вы используете, обязательно уделите особое внимание гигиене полости рта. Брекеты с проволокой и брекеты делают зубы более уязвимыми для зубного налета и остатков пищи, которые могут вызвать окрашивание и, возможно, разрушение зубов. Электрическая зубная щетка может помочь — Oral-B iO оснащен микровибрирующими щетинками на круглой головке, созданной в стиле дантистов, для лучшей очистки каждого зуба.
Еще один способ сохранить зубы и десны чистыми и здоровыми при ношении брекетов — электрическая зубная щетка, оснащенная специальными насадками, такими как
Насадки-щетки Oral-B Power Tip, которые могут помочь удалить больше налета с промежутков между зубами и тесных пространств, таких как скобки и провода.
И не забудьте про зубную нить! Нить Oral-B Super Floss разработана специально для очистки брекетов, мостов и промежутков между зубами.
При правильном уходе за полостью рта вы сможете показать более прямую и здоровую улыбку, когда придет время снимать брекеты.
Керамические брекеты Virginia Beach, VA
На главную »Керамические брекеты в Вирджиния-Бич, штат ВирджинияДля тех, кому требуются металлические брекеты, но не нравится внешний вид, можно использовать керамические брекеты. ДоктораSavage, Sabol & Visser используют керамические брекеты для пациентов, живущих в Вирджиния-Бич, Норфолк и Чесапик и его окрестностях, включая жителей восточного побережья Вирджинии, которым нужны брекеты, но они хотят, чтобы они были менее заметными. Наши пациенты могут начать лечение всего за 99 долларов с небольшими ежемесячными платежами.
Что такое керамические брекеты? Керамические брекеты похожи на металлические брекеты, но по цвету напоминают ваши зубы.
Они обладают прочностью и долговечностью металлических скоб, но при этом не так заметны, как металл, и устойчивы к появлению пятен.Этот тип брекетов очень популярен среди подростков и взрослых, которые стесняются того, как они выглядят с брекетами.
Керамические брекеты различаются по стоимости для каждого пациента в зависимости от цели их ношения и продолжительности времени, необходимого для достижения желаемых результатов. Мы обсуждаем детали, включая стоимость, во время консультации, а также наши варианты оплаты. Мы также предлагаем внутреннее финансирование и финансирование через CareCredit®, чтобы сделать лечение более доступным.Пациенты со стоматологической страховкой могут иметь ортодонтическое покрытие в рамках своего полиса. Мы рекомендуем пациентам принести на консультацию информацию о своей страховке, чтобы мы могли определить, есть ли страховое покрытие, и работать над сокращением ваших личных расходов и повышением доступности вашего лечения.
В Savage, Sabol и Visser мы предлагаем варианты ортодонтического лечения всего за 99 долларов и всего за 200 долларов в месяц.
Как и другие типы брекетов, керамические брекеты способны исправить умеренное и серьезное выравнивание зубов, а также решить другие проблемы, для решения которых требуется нечто большее, чем прозрачные капы.Подростки и взрослые любят носить брекеты, которые ничем не выделяются.
Как работают керамические брекеты? Керамические брекеты работают так же, как металлические брекеты: керамические брекеты цвета зуба накладываются на зубы, через которые продевается проволока и прикрепляется к ортодонтическим бандажам на задних зубах. Вокруг кронштейнов надеваются прозрачные резинки, чтобы надежно удерживать провода на месте. Проволока плавно и постепенно перемещает зубцы в правильное положение. Время ортодонтического лечения варьируется в зависимости от вносимых коррекций.
Керамические брекеты подходят так же, как и традиционные металлические брекеты. Хотя они безболезненны, сначала возникает некоторый дискомфорт при первом применении и после каждой корректировки. Это проходит в течение одного-двух дней и при необходимости может быть уменьшено безрецептурным обезболивающим.
Как узнать, подходят ли мне керамические брекеты?Если вам нужны брекеты для выпрямления зубов, исправления прикуса или решения любых других проблем, но вы опасаетесь носить металлические брекеты, вы можете рассмотреть возможность использования керамических брекетов.Они очень распространены среди подростков старшего возраста и взрослых, которые не хотят привлекать внимание к своим брекетам. Лучший способ получить дополнительную информацию о керамических брекетах — записаться на консультацию к одному из наших ортодонтов.
Drs. Savage, Sabol & Visser предлагают керамические брекеты в качестве альтернативы металлическим брекетам для людей, живущих в окрестностях Вирджиния-Бич, Норфолк, Чесапик и на всем восточном побережье Вирджинии, которые нуждаются в ортодонтии, но не хотят носить заметные брекеты.





Керамические системы легко меняют цвет со временем — сапфир же всегда остается таким же прозрачным, как в день покупки.

Чтобы предотвратить образование налета, зубного камня или бактерий, необходимо тщательно ежедневно чистить зубы. Не бойтесь керамических брекетов, они не станут вам помехой в этом деле.

Стоимость керамических брекетов у нас ниже чем в других стоматологических клиниках. Прием по ортодонтии зубов ведет только опытный стоматолог-ортодонт. Звоните в нашу стоматологическую клинику, опытные ортодонты помогут Вам правильно подобрать керамические брекеты.
случая от 6 до 10 флексов) (1 челюсть)
К общей стоимости лечения прибавляется 30% (при первичном обращении)


Они сохранят рабочие показатели на протяжении всего периода коррекции.
Если вы занимаетесь контактным спортом, это может быть не для вас. (Но какие бы подтяжки вы ни выбрали, при занятиях спортом надевайте капу.)